Chirurgie muco-gingivale
Traitement des récessions gingivales
Programme EPP - vignettes cliniques
6 heures de EPP
514,80 € : 100% prise en charge DPC
Vous recevez l'indemnisation DPC de 211,20 €*
Action DPC :
* sous réserve de validation et en fonction du budget personnel disponible
(en cours de validation DPC)
Les inscriptions s’effectuent directement sur le site https://www.agencedpc.fr/professionnel/
Elles restent ouvertes jusqu’à la veille du début de la session.
Vous trouverez ici plus de details sur le processus d'inscription
Prochaines dates
1 Decembre 2025 - 15 Decembre 2025
16 Decembre 2025 - 31 Decembre 2025
1 Janvier 2026 - 31 Janvier 2026
Preferez-vous un autre format pedagogique ?
Cette formation DPC est proposée sur plusieurs formats differents tous 100% remboursés. Choisez ce qui s'adapte le mieux à vos besoins
Programme intégré vignettes cliniques
Action DPC :
4 heures de formation continue e-learning
+
6 heures d'EPP - vignettes cliniques
646,80 €
100 % prise en charge DPC
Vous recevez l'indemnisation DPC 299,20 € *
132 €
100 % prise en charge DPC
Vous recevez l'indemnisation DPC 88 € *
* sous réserve de validation et en fonction du budget personnel disponible
Programme intégré audit clinique
Action DPC :
646,80 €
100 % prise en charge DPC
Vous recevez l'indemnisation DPC 299,20 € *
4 heures de formation continue e-learning
+
6 heures d'EPP - audit clinique
4 heures de formation continue e-learning
Formation continue
Action DPC :
EPP - vignettes cliniques
Action DPC :
6 heures d'EPP - vignettes cliniques
514,80 €
100 % prise en charge DPC
Vous recevez l'indemnisation DPC 211,20 € *
EPP - audit clinique
Action DPC :
514,80 €
100 % prise en charge DPC
Vous recevez l'indemnisation DPC 211,20 € *
6 heures d'EPP - audit clinique
(en cours de validation DPC)


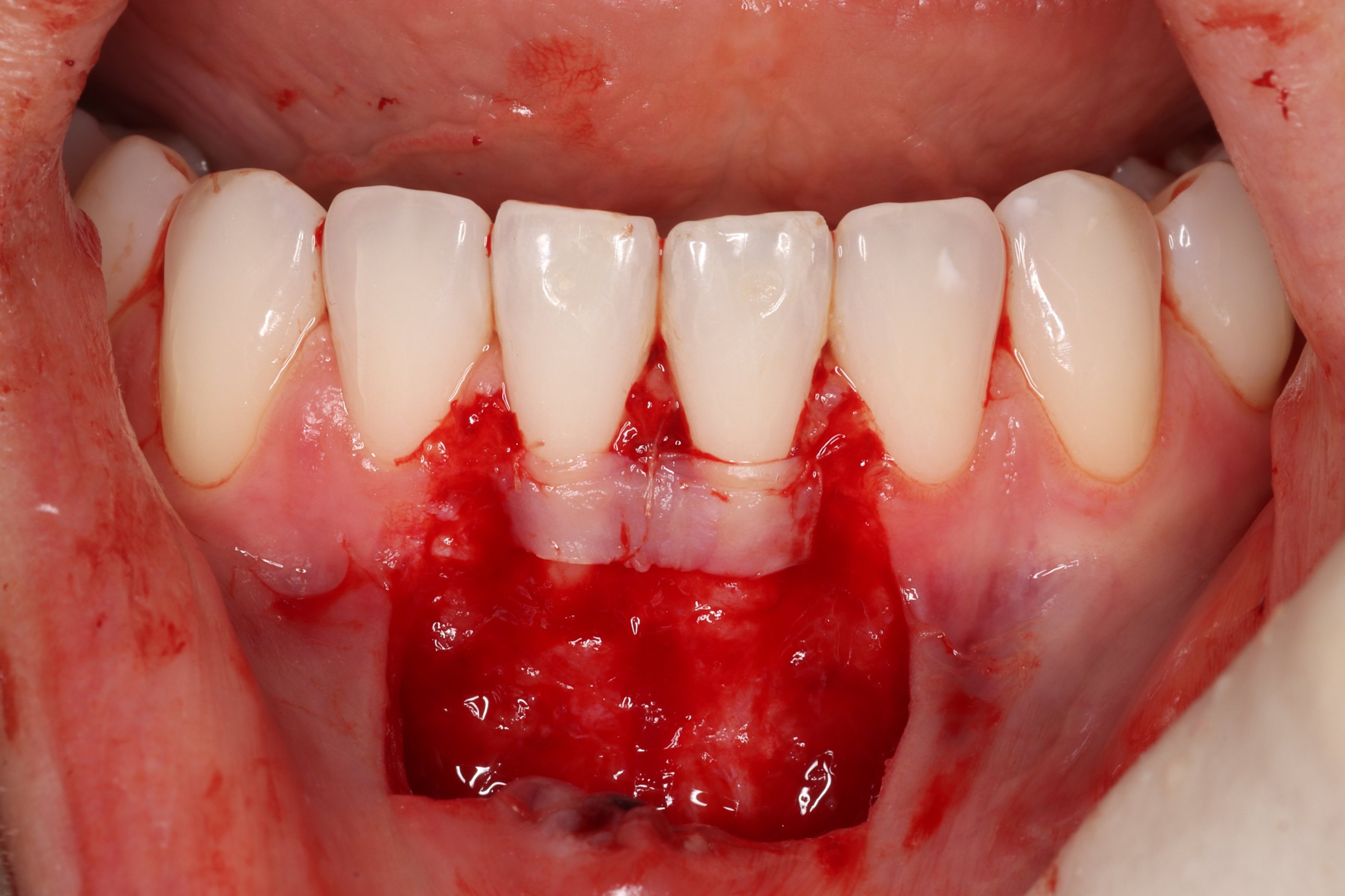
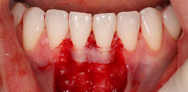
La chirurgie muco-gingivale pour le traitement des récessions gingivales représente aujourd’hui un pilier incontournable de la parodontologie moderne. Cette formation DPC, conçue de manière pratique et interactive, vous permettra de maîtriser les techniques les plus actuelles pour répondre aux attentes esthétiques et fonctionnelles de vos patients.
Cette formation inclut également une évaluation des pratiques professionnelles par la méthode des vignettes cliniques. À travers des situations réelles et des radiographies, vous serez amené à analyser et à appliquer les recommandations les plus pertinentes directement dans votre pratique quotidienne.
Présentation
Au cours de cette formation vous évaluerez :
Le diagnostic et la classification : identifier les récessions selon leur pronostic de recouvrement.
La prise en charge : préparation et indications de la chirurgie muco-gingivale.
Le suivi : évaluer les résultats du traitement et adapter le suivi post-opératoire
Objectifs pedagogiques
L'intervenant


Rodrigo MARTIN-CABEZAS
Pratique exclusive en parodontologie et implantologie
Ancien AHU Parodontologie - Université de Strasbourg
Ancien Collaborateur Externe - Université de Génève
Acréditation Federation Europeenne Parodontologie
D.U. Parodontologie Clinique - Université de Strasbourg
C.E.S. Parodontologie - Univesité de Strasbourg
D.U. Implantologie Buccale - Université de Lyon
Auteur de plusiers articles scientifiques dans des journaux à commité de lecture
Auteur du livre "Les maladies péri-implantaires"
Conferenciant intérnational
Lauréat de plusieurs prix nationaux et internationaux


