Péri-implantite pour l'omnipraticien
Du diagnostic à la prise en charge
Programme EPP - vignettes cliniques
6 heures de EPP
514,80 € : 100% prise en charge DPC
Vous recevez l'indemnisation DPC de 211,20 €*
Action DPC :
* sous réserve de validation et en fonction du budget personnel disponible
Les inscriptions s’effectuent directement sur le site https://www.agencedpc.fr/professionnel/
Elles restent ouvertes jusqu’à la veille du début de la session.
Vous trouverez ici plus de details sur le processus d'inscription
Prochaines dates
1 Septembre 2025 - 30 Septembre 2025
1 Octobre 2025 - 15 Octobre 2025
16 Octobre 2025 - 31 Octobre 2025
Preferez-vous un autre format pedagogique ?
Cette formation DPC est proposée sur plusieurs formats differents tous 100% remboursés. Choisez ce qui s'adapte le mieux à vos besoins
Programme intégré vignettes cliniques
Action DPC :
4 heures de formation continue e-learning
+
6 heures d'EPP - vignettes cliniques
646,80 €
100 % prise en charge DPC
Vous recevez l'indemnisation DPC 299,20 € *
132 €
100 % prise en charge DPC
Vous recevez l'indemnisation DPC 88 € *
Programme intégré audit clinique
Action DPC :
646,80 €
100 % prise en charge DPC
Vous recevez l'indemnisation DPC 299,20 € *
4 heures de formation continue e-learning
+
6 heures d'EPP - audit clinique
4 heures de formation continue e-learning
Formation continue
Action DPC :
EPP - vignettes cliniques
Action DPC :
6 heures d'EPP - vignettes cliniques
514,80 €
100 % prise en charge DPC
Vous recevez l'indemnisation DPC 211,20 € *
EPP - audit clinique
Action DPC :
514,80 €
100 % prise en charge DPC
Vous recevez l'indemnisation DPC 211,20 € *
6 heures d'EPP - audit clinique


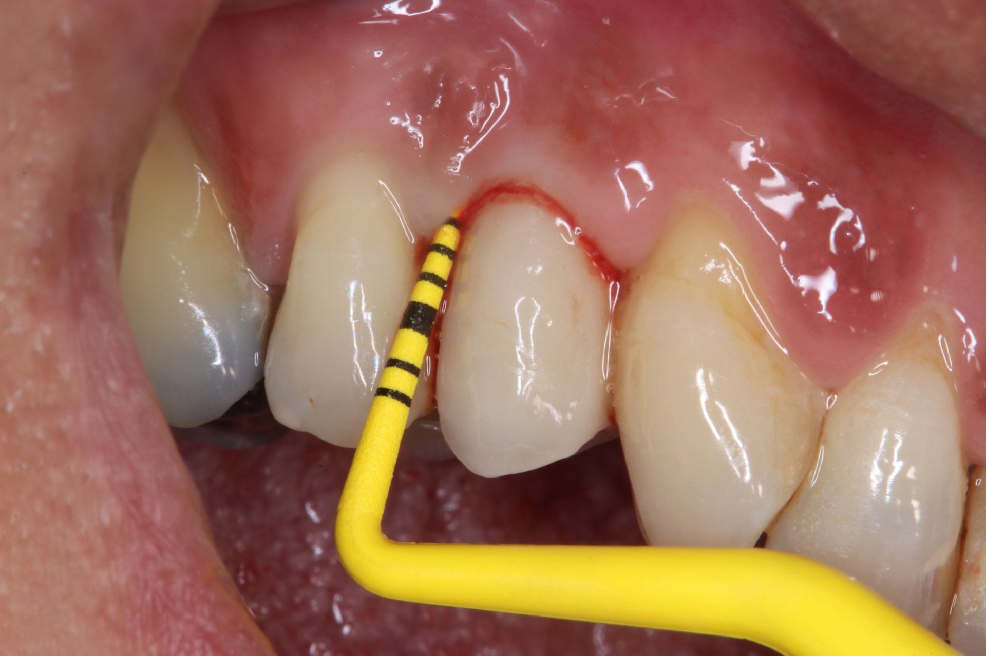
Les maladies péri-implantaires sont aujourd'hui un defi quotidien au cabinet dentaire, mettant en risque les implants dentaires et la santé bucco-dentaire de nos patients.
Cette formation propose une évaluation des pratiques professionnelles structurée sous les dernières recommandations des consensus de la Fédération Européenne de Parodontologie tant pour le diagnostic comme pour la prise en charge.
Les vignettes cliniques vous montreront des situations et radiographies qui vous aideront a appliquer ces recommendations dans votre cabinet.
Présentation
Au cours de cette formation vous apprendrez :
L'examen clinique et radiographique approfondie du patient porteur d'implants
Diagnostiquer et prévenir les maladies péri-implantaires mucosite et péri-implantite
Réaliser une prise en charge initiale non-chirurgicale selon les dernieres recommandations
Plannifier des cases complexes et identifiér les besoins de chirurgie péri-implantaire
Objectifs pedagogiques
L'intervenant


Rodrigo MARTIN-CABEZAS
Pratique exclusive en parodontologie et implantologie
Ancien AHU Parodontologie - Université de Strasbourg
Ancien Collaborateur Externe - Université de Génève
Acréditation Federation Europeenne Parodontologie
D.U. Parodontologie Clinique - Université de Strasbourg
C.E.S. Parodontologie - Univesité de Strasbourg
D.U. Implantologie Buccale - Université de Lyon
Auteur de plusiers articles scientifiques dans des journaux à commité de lecture
Auteur du livre "Les maladies péri-implantaires"
Conferenciant intérnational
Lauréat de plusieurs prix nationaux et internationaux


