Consultation pour implants
Phase pré-thérapeutique
Programme EPP - audit clinique
6 heures de EPP
514,80 € : 100% prise en charge DPC
Vous recevez l'indemnisation DPC de 211,20 €*
Action DPC :
* sous réserve de validation et en fonction du budget personnel disponible
(en cours de validation DPC)
Les inscriptions s’effectuent directement sur le site https://www.agencedpc.fr/professionnel/
Elles restent ouvertes jusqu’à la veille du début de la session.
Vous trouverez ici plus de details sur le processus d'inscription
Prochaines dates
1 Decembre 2025 - 15 Decembre 2025
16 Decembre 2025 - 31 Decembre 2026
1 Janvier 2025 - 15 Janvier 2025
Preferez-vous un autre format pedagogique ?
Cette formation DPC est proposée sur plusieurs formats differents tous 100% remboursés. Choisez ce qui s'adapte le mieux à vos besoins
Programme intégré vignettes cliniques
Action DPC :
4 heures de formation continue e-learning
+
6 heures d'EPP - vignettes cliniques
646,80 €
100 % prise en charge DPC
Vous recevez l'indemnisation DPC 299,20 € *
132 €
100 % prise en charge DPC
Vous recevez l'indemnisation DPC 88 € *
* sous réserve de validation et en fonction du budget personnel disponible
Programme intégré audit clinique
Action DPC :
646,80 €
100 % prise en charge DPC
Vous recevez l'indemnisation DPC 299,20 € *
4 heures de formation continue e-learning
+
6 heures d'EPP - audit clinique
4 heures de formation continue e-learning
Formation continue
Action DPC :
EPP - vignettes cliniques
Action DPC :
6 heures d'EPP - vignettes cliniques
514,80 €
100 % prise en charge DPC
Vous recevez l'indemnisation DPC 211,20 € *
EPP - audit clinique
Action DPC :
6 heures d'EPP - audit clinique
514,80 €
100 % prise en charge DPC
Vous recevez l'indemnisation DPC 211,20 € *
(en cours de validation DPC)
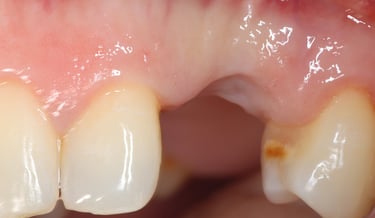
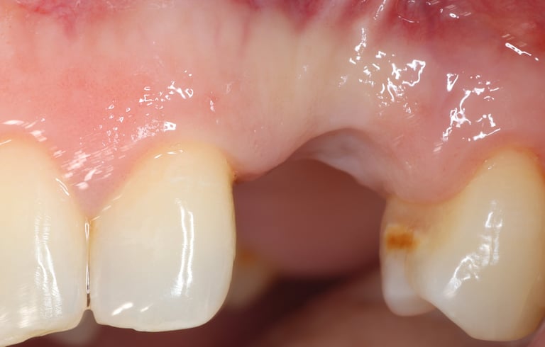
La réussite d’un traitement implantaire repose sur une évaluation rigoureuse de l’état de santé général et bucco-dentaire du patient.
La phase préthérapeutique est essentielle pour identifier les facteurs de risque pouvant compromettre la cicatrisation, l’ostéointégration ou la durabilité de l’implant, et pour planifier une prise en charge adaptée aux besoins et au profil du patient.
Cette action, fondée sur les recommandations de l’HAS, elle s’adresse aux chirurgiens-dentistes désireux de sécuriser et d’optimiser leurs indications implantaires, tout en respectant les bonnes pratiques professionnelles.
Présentation
Au cours de cette formation vous apprendrez :
Les recommandations actuelles de la HAS concernant la phase préthérapeutique implantaire.
La préparation du patient à la phase implantaire.
Interpréter les résultats pour en tirer des enseignements pratiques.
Définir un plan d’amélioration des pratiques professionnelles.
Objectifs pedagogiques
L'intervenant


Rodrigo MARTIN-CABEZAS
Pratique exclusive en parodontologie et implantologie
Ancien AHU Parodontologie - Université de Strasbourg
Ancien Collaborateur Externe - Université de Génève
Acréditation Federation Europeenne Parodontologie
D.U. Parodontologie Clinique - Université de Strasbourg
C.E.S. Parodontologie - Univesité de Strasbourg
D.U. Implantologie Buccale - Université de Lyon
Auteur de plusiers articles scientifiques dans des journaux à commité de lecture
Auteur du livre "Les maladies péri-implantaires"
Conferenciant intérnational
Lauréat de plusieurs prix nationaux et internationaux


