Parodontologie pour l'omnipraticien
Diagnostic et traitement de la parodontite stages I à III
Programme EPP - Audit clinique
6 heures de EPP
Financement DPC : aucun frais pour vous + indemnisation
Prix de la formation
237,60 €Pris en charge à 100% par DPC - aucune avance ni frais pour vous
Vous recevez l'indemnisation DPC de 132,00 €* à la fin de la formation
Action DPC :
* L’indemnisation DPC vous est versée pour compenser le temps consacré à votre formation obligatoire. Sous réserve de validation et en fonction du budget personnel disponible.


Les inscriptions s’effectuent directement sur le site https://www.agencedpc.fr/professionnel/
Elles restent ouvertes jusqu’à la veille du début de la session.
Vous trouverez ici plus de details sur le processus d'inscription
Prochaines dates
1 Mars 2026 - 31 Juillet 2026
1 Avril 2026 - 31 Aout 2026
1 Mai 2026 - 30 Septembre 2026


Approfondissez vos compétences en parodontologie
La parodontite est une cause majeure de perte dentaire chez l’adulte. Un dépistage précoce et une prise en charge adaptée sont essentiels pour optimiser la santé bucco-dentaire de vos patients.
Cette formation propose une Évaluation des Pratiques Professionnelles (EPP) structurée selon les dernières recommandations issues des consensus de la Fédération Européenne de Parodontologie, pour le diagnostic comme pour la prise en charge.
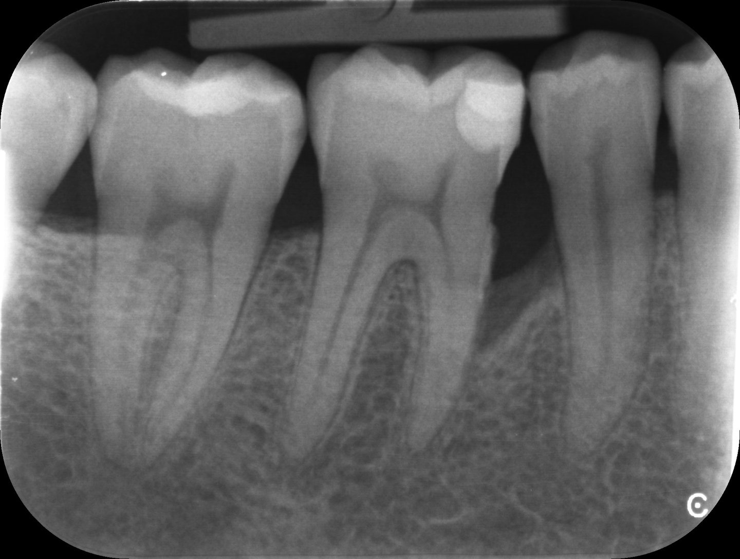
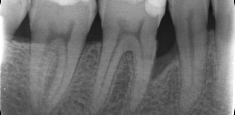
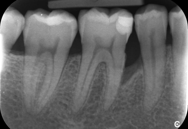
Grâce aux vignettes cliniques, vous découvrirez des situations et radiographies concrètes, vous permettant d’appliquer directement ces recommandations dans votre pratique quotidienne.
Présentation
Au cours de cette formation, vous évaluerez :
Le diagnostic et la classification : identifier les différentes formes de parodontite et leur sévérité.
La prise en charge : motiver le patient, contrôler la plaque, réaliser détartrage et surfaçage radiculaire, et déterminer les indications de chirurgie parodontale.
Le suivi : évaluer la réponse au traitement et adapter le programme de maintenance parodontale.
Objectifs pédagogiques
L'intervenant


Dr Rodrigo MARTIN-CABEZAS
Pratique exclusive en parodontologie et implantologie
Ancien AHU Parodontologie - Université de Strasbourg
Ancien Collaborateur Externe - Université de Génève
Acréditation Federation Europeenne de Parodontologie
Docteur en Médecine - Dentaire - Université de Génève
D.U. Parodontologie Clinique - Université de Strasbourg
C.E.S. Parodontologie - Univesité de Strasbourg
D.U. Implantologie Buccale - Université de Lyon
Auteur de plusiers articles scientifiques dans des journaux internationaux à commité de lecture
Auteur du livre "Les maladies péri-implantaires" - JPIO
Conferenciant intérnational
Lauréat de plusieurs prix nationaux et internationaux
FAQ : vos questions sur la formation
Préférez-vous un autre format pédagogique ?
Cette formation DPC est proposée sur plusieurs formats différents, tous 100% remboursés. Choisissez ce qui s'adapte le mieux à vos besoins


